東北大学 加齢医学研究所 発ベンチャーのCogSmart、“海馬を育てる”日本発ソリューションの展開のため、株式投資型クラウドファンディングを実施
株式会社CogSmart
~脳医学の権威・瀧教授も登壇するオンライン事業説明会を10/22より開催(全3回)~
誰もが「生涯健康脳」を実現する社会を目指したサービスを展開する株式会社CogSmart(本社:東京都中央区、代表取締役:樋口 彰、瀧 靖之、以下「CogSmart」)は、10月23日(木)19時30分から11月6日(木)までを募集期間として、株式投資型クラウドファンディングを実施します。
本資金調達により、認知症の予防から改善までの総合プラットフォームをさらに展開します。認知症の「早期発見・早期絶望」という問題、そして認知症がもたらす膨大な社会的コストという課題に、科学的エビデンスに基づいた予防から治療までを支援する、独自のビジネスモデルで挑みます。
CogSmartの強み
【トップレベルの研究基盤】
世界の認知症予防の先駆けとなった東北大学20年以上の脳医学研究が事業の核
【世界的にも稀有なデータ資産】
同一人物を8年間追跡したデータを含む4,000例超の脳画像データベースが、他社の追随を許さない競争優位性の源泉
【予防から改善まで包括サポート】
AI脳ドック(見える化・動機付け)と認知機能改善アプリ(予防・改善)を軸に、生涯にわたる脳の健康をサポート
【最先端研究をビジネスに変える専門家集団】
東北大学加齢医学研究所教授・瀧CSO、国内外の事業戦略を牽引する日英弁護士・樋口CEO、元AWS本部長の齊藤CROが事業を推進
CogSmartのサービス
【知る】AIで海馬の健康を可視化する「BrainSuite(ブレイン・スイート)」事業
記憶をつかさどる「海馬」の大きさを測るMRI検査BrainSuiteは、頭部MRI検査とAI解析を組み合わせ、従来の脳ドックでは見過ごされがちだった認知症の早期リスクが、同世代の平均と比較する形で客観的に把握できるようになります。
【改善】行動変容を促し”海馬を育てる” 「BrainUp(ブレイン・アップ)」事業
認知機能低下ひいては認知症リスクの指標として、脳の海馬の萎縮度合いを用いることができます。しかし、海馬は萎縮するだけではなく、生活習慣の改善によって“育つ”ことが分かっています。
BrainUp(ブレインアップ)は、その海馬の特性に着目し、その科学的知見を日常生活の中で実践できるようCogSmart が開発したアプリです。スマートウォッチ(FitbitやApple Watchなど)を装着することで、既存の研究に基づき、一人ひとりに最適な、海馬の神経新生や認知機能改善に効果的な運動や身体活動の強度や目標時間を自動で設定し、無理なく継続できる仕組みを提供します。
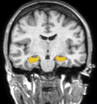
海馬とは?
海馬は、記憶をつかさどる脳の部位です。
記憶力や判断力等の低下は、海馬の萎縮として先に現れることが分かっています。加齢に加え、睡眠不足や運動不足など、生活習慣の乱れがその一因とされています。
しかし、6か月以上の運動をすることによって、海馬で「神経新生」が起こり、体積が増える可能性も示されています。
(PNAS, 2011, Erickson KI, Voss MW, Prakash RS, et al.)
▲黄色い部分が海馬
代表メッセージ
代表取締役CSO 瀧靖之
私は20年以上、脳医学の研究を行ってきました。研究を始めた当初、多くの方々から「認知症のリスクや脳の状態をどう把握するのか?」といった質問を頂きました。MRI画像で脳の状態が分かると期待されていましたが、実際にはそれだけでは不十分でした。そこで、AI技術を使った脳の解析に取り組み、海馬の詳細な解析を実現しました。結果、認知症予防には「脳の健康状態の可視化」が重要であると確信しました。脳の状態を客観的なデータで知ることで、生活習慣を見直すきっかけを提供できると考えています。CogSmartはこの考えを基に、予防サイクル「知る→改善→再度可視化」を構築しました。今後は、早期発見と予防に加え、認知症初期段階での治療にもつながるサービス展開も目指していきます。
代表取締役CEO 樋口彰
私は企業法務弁護士としてキャリアをスタートし、2012年から2年間金融庁に出向し、金融商品取引法(金商法)改正の法案担当や政策立案などを行いました。株式投資型クラウドファンディングは2014年金商法改正により導入されたもので、今回当事者として活用することには感慨深いものがあります。我々のビジネスには、社会を形作る多くの方々からのご支援や、それを超えた結びつきが支えになります。今回、多くの方々にご賛同いただき、投資と社会とが繋がるエコシステムを構築し、事業展開を加速させていきます。事業説明会では、瀧教授とともに、AI技術・研究成果や今後の当社事業についてご説明致しますので、是非ご参加下さい!
オンライン事業説明会
CogSmartの事業やサービスについてよりよく知っていただくことを目的として、Zoomウェビナーを用いたオンライン事業説明会を開催します。
<第1回>10月22日(水)21時~22時
CogSmartが描く事業の全体像と、ソリューションの核である「BrainSuite」と「BrainUp」が社会をどのように変えていくのか。ビジネスモデルや今後の成長戦略を中心に説明します。
参加申込み
<第2回>10月28日(火)21時~22時
CogSmartの事業説明に加えて、なぜ認知症やMCIは若い世代にとっても他人事ではないのか。脳科学の最新の知見を交えながら、CogSmartの挑戦の社会的意義と、予防がいかに重要であるかを瀧教授が分かりやすく解説します。
参加申込み
<第3回>11月4日(火)21時~22時
「研究成果を、社会に届けたい」―その純粋な想いは、どのようにしてCogSmartという事業につながったのか。CogSmartの事業説明に加えて、事業の原点やこれまでの挑戦、そして創り上げたい未来について語ります。
参加申込み
▼募集概要
イークラウド社・株式投資型クラウドファンディング第57号案件
募集予定期間:2025年10月23日(木)~2025年11月6日(木)
目標募集額:10,000,000円(上限募集額:80,000,000円)
募集ページ:https://ecrowd.co.jp/projects/57
※本報道発表文は、大和証券グループ提携のイークラウド株式会社にご協力頂き、CogSmartが特定投資家・個人投資家様向けの株式投資型クラウドファンディングを実施することを一般に公表するための文書であり、投資勧誘を目的として作成されたものではありません。
▼株式投資型クラウドファンディングとは
「株式投資型クラウドファンディング」は、非上場企業が株式等の発行により、インターネットを通じて多くの人から少額ずつ資金を集められる仕組みで、2015年の金融商品取引法改正・施行に伴って可能となった資金調達手段です。これまで個人が非上場のスタートアップに投資できる機会は極めて限定的でしたが、「株式投資型クラウドファンディング」を活用することで、スタートアップ投資のハードルが低減されました。
◆株式会社CogSmart(コグスマート) 会社概要
設立:2019年10月
代表者:代表取締役 社長 樋口 彰[※1]、代表取締役 最高科学責任者 瀧 靖之[※2]
本社:東京都中央区日本橋本町三丁目8番5号
[※1] 日本法弁護⼠・英国法弁護⼠(Solicitor in England and Wales)/東北大学加齢医学研究所 分野研究員
[※2] 東北大学加齢医学研究所 教授 医師・医学博士/東北大学スマート・エイジング学際重点研究センター センター長
企業プレスリリース詳細へ
PR TIMESトップへ
スポンサーリンク
スポンサーリンク























